歯周矯正治療の方法と期間

[矯正 歯] ブログ村キーワード
当院では多摩市の『歯周病専門医』として矯正治療を歯周基本治療の一環として取り入れています。

歯周病に対して歯列矯正を行うのはとても効果的で、治療終了後の予後を左右するといっても過言ではありません。

 

さらに見た目も改善されるため、治療を受けられた患者様としてはこの綺麗な状態をなるべく長く維持したいという心理も働くようです。

多摩市永山駅から徒歩8分の歯医者なら福嶋歯科医院

 

 

 

 

歯周病治療のための「矯正治療」3つのメリットとは?

 

ブログ村キーワード歯周病を治療していく上で『矯正治療』を行うことはとても有意義な選択です。そこで、今回は矯正治療を行う上で、歯周病治療にどう良いのかをまとめ…

では、実際にどのように矯正治療が行われていくのかを見てみましょう。

 

歯周矯正治療 ステップ① 診査・診断

orthodontic-treatment-1

この方は上の奥歯が無い状態が長期間続いたため、奥歯が傾いてしまい歯が入れられない状態でした。

また歯が傾いていることで、プラークがたまりやすく実際に歯周病を発症していました。

 

そこで、傾いた歯を元に戻し、隙間にきちんと歯が入るように矯正治療を行うことにしました。

 

歯周矯正治療 ステップ② ブラケット装着

orthodontic-treatment-2

まずは、矯正治療の基本となる「ブラケット」という装置を特殊な接着剤で歯につけます。

 

歯周矯正治療 ステップ③ 最初のワイヤー装着

orthodontic-treatment-3

続いてワイヤーを装着していきます。

ワイヤーは細いものから太いものに順々に置き換えて歯を移動させて生きます。

写真のワイヤーはとても柔らかいワイヤーで歯に『これから歯を動かすんだよ』と知らせるためのものです。

 

歯周矯正治療 ステップ④ ワイヤー交換

orthodontic-treatment-4

ある期間歯に刺激を与えて歯を動かす準備ができたら、いよいよワイヤーを付け替えて歯を動かしていきます。

この症例では1ヶ月ほどしてから交換をしました。

 

歯周矯正治療 ステップ⑤ 矯正治療終了

orthodontic-treatment-5

目標の位置まで歯を動かし終わったら矯正治療は終了です。

この症例ではここまで5ヶ月間かかりました。

 

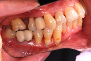
歯周矯正治療 ステップ⑥ 補綴治療

orthodontic-treatment-6

最終的な被せ物をつけて治療は終了です。

ここまですることで咀嚼機能を回復させられるだけでなく、歯ブラシもしやすく将来的な虫歯や歯周病のリスク管理が非常にしやすくなります。

 

このように矯正治療は子供や若い人だけの治療ではなく、60歳代、70歳代の方にも必要な治療です。

歯周病治療を根本から解決していきたいとお考えの方は、小田急線永山駅から徒歩8分の当院までご相談ください。

 

また、予約が混雑しておりますのでご来院の際は余裕を持ったご予約をお願いいたします。

歯周病なら多摩市永山の歯医者「福嶋歯科医院」

歯周病なら多摩市永山の歯医者「福嶋歯科医院」

〒206-0023
東京都多摩市馬引沢2-3-29 MAHIKIZAWA F1階

  • 【月・火・水・木・土・日】
    8:30~13:00 / 14:30~18:00
  • 【金】
    9:30~13:00 / 14:30~19:00
  • 【休診】祝日

歯周病専門医が在籍する
永山の歯医者 「福嶋歯科医院」

WEB診療予約