- 歯周病なら多摩市永山の歯医者「福嶋歯科医院」TOP
- 歯科材料のジルコニアとは
ジルコニアとは?
ジルコニアは見た目の良さと素晴らしい強度をもった素材で海外ではすでに歯科治療の第一選択肢ともなっている治療方法です。ジルコニアは人工ダイヤとも呼ばれる非常に強度の高いセラミックの一種で、強度に優れるだけでなくお口の中に入れても安心なほど化学的にも安定している物質です。
歯科治療で使われるジルコニアの成分は二酸化ジルコニウムという成分で、1789年にドイツの科学者 M.H.Klaprothが開発して以来、ジルコニアを使ったセラミックの被せ物は歯医者さんで使われる素材のなかで最も硬い素材へと進化し、世界では1990年代からインプラント治療などに使われてきました。歯科治療以外でもジルコニアは卓越した強度と生体安定性から整形外科領域でも腰骨や指、耳などの代替物としても使用されています。
ジルコニアのタイプ
ジルコニアには「高強度タイプ」と「透明感の高いタイプ」の2種類があります。
高強度タイプのジルコニア

「体重と同じくらい」と言われる噛み合わせや歯軋りなどの力にも十分耐えられる強度がある一方、透明感がないので被せ物の骨組みとして使ったり奥歯の被せ物として使うのに適しています。また根管治療(神経の治療)をした後の被せ物としても適しています。
透明度の高いジルコニア

透明感の高いタイプは見た目も天然の歯に近いため前歯の被せ物に適しています。高強度タイプのジルコニアより強度が落ちると言ってもかつて主流だった「メタルボンド」と呼ばれるセラミック治療よりも高い強度があります。
かつて主流だった「メタルボンド」とは?
「メタルボンド」とは金属の骨組みの上にセラミックを盛り付けるタイプの被せ物です。
-
メタルボンド
-
メタルボンド
これまでもセラミックを使った被せものは存在していましたが、強度の面で不安が多く実用的な面で不安が残るものが多い中、金属の上に化学的にセラミックを結合させる方法は画期的な技術でした。特に土台として選ばれた「金とプラチナの合金」は安定性に優れ、細かい部分も再現できますし、セラミックはプラークを寄せつけにくい特性があるため清掃性に優れています。まさに最強のコンビネーションといっても過言ではありませんでした。しかし、より美しくより自然な被せ物への欲求が高まるにつれ、メタルボンドでは満足が行かなくなってしまったのです。銀色をした金属の上に半透明のセラミックを盛り付けるとどうしても「暗い色合い」になってしまうからです。
そこで長年、「骨組みから白くできないか?」という研究が行われてきました。そこでようやく完成したのが「ジルコニア」なのです。
-
ジルコニアの骨組み
-
ジルコニアにセラミックを盛った状態
ジルコニアセラミック治療のメリットは?
まだまだ日本では一般的に知られていないジルコニアですが、化学的、審美的な特性から世界中で歯科治療に使われています。
01高い審美性
ジルコニアは素材そのものが白いのでその上に半透明なセラミックを盛り付けても暗い色になりません。絵画でいうと白いキャンバスのような状態なので、例えば歯の溝の部分は少し茶色を足したりとか、隣の歯の色と調和するように色をつけたりと表現の幅が広く、より自然に近い色調を出すことができます。こういった特徴から福嶋歯科医院では前歯の審美治療などにジルコニアをおすすめしています。
-
ジルコニアセラミック
-
装着直前のジルコニアセラミック
また福嶋歯科医院のもうひとつのこだわりが被せ物を装着する際に使う接着剤です。患者様のベースの歯の色に合わせてトランスペアレント、ホワイト、オペークと3種類の色の接着剤を使い分けより自然な表情が出る様に心がけています。
02高い強度
ジルコニアは歯科治療のなかで最も強度の高い素材です。何故なら被せ物を製作する際に「CAD/CAM」と言われる技術を使い、ジルコニアのブロックを削り出して1枚岩として歯を作るからです。このためセラミックの粉を盛り上げて焼き上げる従来の治療法と異なり、ジルコニアはポーセレンの5倍以上の強度があり、欠けたり磨耗したりといったことがありません。
さらにお口の中は常に湿気と細菌の侵襲があって自分の体重以上の荷重がかかり、アイスを食べたり熱いお茶を飲んだりと食べ物によって100℃近い温度変化がありますが、そんな過酷な環境にも安定した高い強度を誇ります。
03高い接着性
被せ物を歯に装着する時に「セメント」と呼ばれる接着剤で付けますが、他の素材を使った治療法と同様にジルコニアも歯と高い接着性があるため、バクテリアの侵入する隙間を作りません。そのため銀歯など隙間のできやすい素材で起こりがちな「2次虫歯」を防ぐことが可能です。
04メタルフリーで100%生体親和性がある
これまでジルコニアを使った治療でアレルギーが出たという報告はありません。
またこれまでパラジウムやニッケルといった金属に対して金属アレルギーがある患者様には「ゴールド」を使った治療や「セラミックのみ」を使った被せ物が選択されてきましたが、セラミック単体の治療は強度に不安がありましたし、ゴールドにもアレルギーを持つ患者様がいました。
その点、ジルコニアは生体親和性に優れ、強度と審美性も高いため金属アレルギーのある患者様にも安心して使用することができます。
05高い審美性でより笑顔が美しく

メタルボンドの縁にできた黒い影
かつて主流だったメタルボンドは被せ物の縁の部分の金属が見えてしまうため歯の付け根や歯ぐきが黒く見えてしまうリスクがありました。しかしジルコニアを使ったセラミック治療は金属色が一切ないため歯の付け根や歯ぐきが黒くならず笑顔がより自然で映えるものになります。
また歯は本来真っ白ではなく部分的に透明だったり、乳白色だったりとグラデーションで出来ています。そのためベースの色がより天然の歯に近いほどより自然なニュアンスが表現できるのです。
ジルコニアを使った被せ物のデメリットは?
噛み合う歯への影響
ジルコニアは非常に硬い材質であるため噛み合う歯を傷めてしまう可能性があり、噛み合わせを精密に調整しなければなりません。
福嶋歯科医院ではこの問題点をクリアするために噛み合わせの調整に使用する「咬合紙」としてドイツのハネル社製のものを使用しています。ハネル社の咬合紙は厚みわずか0.012㎜しかないので噛み合わせを誤差0.012㎜の範囲内で精密に調整することができます。
2次う蝕
被せ物を装着した後に歯と被せ物の隙間に虫歯ができることを「2次う蝕(うしょく)」と言います。2次う蝕にならない様にするために被せ物の適合精度が非常に大事で、CAD/CAMやミリングマシンと呼ばれるロボットによって作られるジルコニアクラウンはどうしてもロボットの手先につけられたドリルの半径以上の精度を出すことができませんでした。しかし、最近のミリングマシンは従来のメタルボンド治療と同じくらいの精度が出せる様になってきているので精密さといった点ではデメリットは無いと言えます。また装着する際の接着セメントもかなり進歩しており、化学的にも歯とジルコニア両方に結合するので隙間を埋めて虫歯の入る隙間を作りません。
治療費が高額
ジルコニアに限らずセラミックを使用する治療は保険診療ではカバーされておらず自費治療となるため治療費がかかります。しかし、ジルコニアの強度と生体親和性、審美性などを考えると長期的にお口の中で安定し自分が被せ物をしていることを忘れるくらい自然な仕上がりになるため生活の質の向上という点を加味すると決して高い治療ではありません。また保険治療で使用されるパラジウムという素材は金属アレルギーを起こすことがあり、統計的に平均7年間で2次虫歯などの何らかの異常が起きることが分かっています。
実際に虫歯の治療ではなく別の理由で銀歯を外した際に銀歯の下が真っ黒になっていたというケースは少なくありません。これは銀歯に使われる素材が材質的に精密な適合しないというのが原因だからです。
ジルコニア治療の流れ
-
STEP形成・印象
まずは歯を削っていきます。被せ物にしっかりと強度を持たせつつ削る範囲を最小限に止めるため1.0㎜~1.5㎜削ります。歯を削って形を整えた後に歯型と噛み合わせをとり、仮の歯を装着します。
-
STEPフレーム試適
このケースではジルコニアの骨組みにセラミックを持って形を作る方法を選択したので、そのジルコニアの骨組みの適合が問題ないかチェックしました。
この段階で適合状態が甘いと判断した場合は再度、型を取り直し再製作します。 -
STEPビスケット試適
歯とのフィットに問題がない場合、「ビスケット」と呼ばれるジルコニアの骨組みにセラミックを盛り付けて素焼きにした状態で噛み合わせをチェックしていきます。この時、噛み合わせとともに「色合い」や「歯の形」、「舌に当たる感触」などもチェックしていきます。
この症例では、患者様より歯の溝の色を真っ白ではなく、少し色のついた自然な感じにして欲しいとのご要望がありました。 -
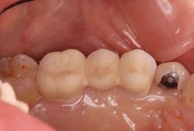
STEP装着
ビスケットでの噛み合わせに問題がない場合、高温の炉で焼き上げツルツルに仕上げていきます。材料の性質上、焼き上げる際に0.7%~0.8%ほど変形するため装着直前に再度、噛み合わせをチェックします。
噛み合わせに問題がない場合は専用の接着剤で装着し完了です。
歯周病専門医が在籍する
永山の歯医者 「福嶋歯科医院」
