
エムドゲインゲルを使った歯周組織の再生治療は日本だけでなく、海外でも多く取り入れられた治療方法です。
メリットは歯を支える大事な歯槽骨と歯根膜を再生させ、歯周病の再発を防ぎやすくします。
そこでここでは、エムドゲインを使った治療の術後の経過とかかる費用について解説をさせて頂きます。
エムドゲインを使った歯周病治療の術後経過
通常、歯周外科手術を行うと次のような治療経過をたどります。
| 手術直後 | 滲むような出血が続きます。飲酒や運動などは控えて頂きます。 |
| 術後2日目(腫れのピーク) | 創部へ毛細血管が生え始めます。思ったよりも痛くなかったという方が大半です。痛み止めも飲まない方が多いようです。 |
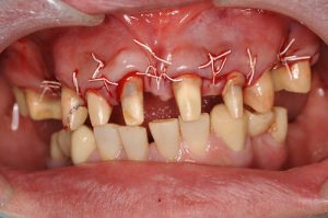
| 術後1週間(抜歯) | 毛細血管がおおよそ出来上がる時期で、傷口としても安定してきます。優しくブラッシングを開始していただく時期です。 |
| 術後8週間後(肉芽の完成) | 骨の元となる「肉芽」が完成します。傷口は完全にふさがっており中で成熟するのを待ちます。 |
| 術後3ヶ月 | 骨がほぼ出来上がる時期です。 |
3つの写真を見比べると歯ぐきが引き締まり、色がサーモンピンクに改善していることが分かります。
さらにレントゲン写真を比較すると骨が再生しているのが確認できます。
エムドゲインゲルを使った手術の魅力は歯槽骨が再生するだけでなく、本来骨が出来てほしい場所に上皮が入り込んでしまうのを極力防ぐことができる点です。
これは「ダウングロース」と呼ばれ、歯周病の再発の原因となる因子の1つです。
エムドゲインはダウングロースを防ぎ、歯槽骨を再生する作用があるため当院では、歯周病の根本治療の1つとして採用しています。
エムドゲインを使った歯周病治療にかかる費用
エムドゲインゲルを使った治療法は「国民健康保険」が適用されません。
そのため実費治療となります。
歯周外科治療を使った治療法や根本的な歯周治療を行いたい方は、お気軽にご連絡ください。
【福嶋歯科医院】
東京都多摩市馬引沢2−3−29
小田急線・京王線永山駅から多摩消防署方面へ徒歩8分
京王バス「諏訪神社」停留所 徒歩30秒
歯周病なら多摩市永山の歯医者「福嶋歯科医院」

〒206-0023
東京都多摩市馬引沢2-3-29 MAHIKIZAWA F1階
- 【月・火・水・木・土・日】
8:30~13:00 / 14:30~18:00 - 【金】
9:30~13:00 / 14:30~19:00 - 【休診】祝日
歯周病専門医が在籍する
永山の歯医者 「福嶋歯科医院」





